AI just won't stop getting crazier 🤯
13 most incredible developments from OpenAI, META, Midjourney, StabilityAI, MoveAI, Grok that are taking the industry by STORM.
1. MoveAI now creates real-time CGI with just a single phone
2. Midjourney v6.1 was just released and is practically indistinguishable from photography.



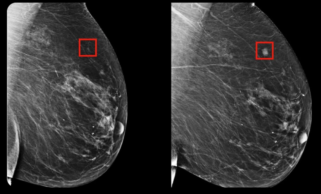
3. AI detects breast cancer 4 years before it develops.
Hungarian physicians are using an AI model that can detect breast cancer 4 years before it develops.

4. OpenAI starts rolling out its Her-like voice mode for ChatGPT.
The below video blew my mind. It stopped to catch its breath like a human would.

5. StabilityAI introduces Stable Fast 3D, Stability AI’s latest breakthrough in 3D asset generation technology.
This innovative model transforms a single input image into a detailed 3D asset in just 0.5 seconds.

6. RunwayAI reveals a new version of Gen-3 Alpha, Turbo.
It can generate videos 7x faster than the original Gen-3 Alpha, while matching its performance on many use cases.

7. Meta's just revealed "SAM 2" which tracks every object in any video.

META also dropped Llama-3.1, its most powerful and largest AI.
Meta claims it has outperformed GPT-4, GPT-4o, and Claude 3.5 Sonnet across various tasks.

8. Caption releases AI Twin that can behave, speak, and show emotions just like you.

9. Tezi raises a $9M Seed to build an autonomous AI recruiter
Max, the AI recruiter, is trained by top hiring managers & recruiters to handle the entire recruiting process.

10. Drones are becoming fully autonomous, needing no human help.

11. Elon announces Grok 2 (coming in August) and 3 (coming in December.)

12. Apple intelligence has been DELAYED until October.


13. OpenAI has announced the launch of SearchGPT, an AI-powered search engine designed to deliver real-time information from the web.

I hope you enjoyed that! If so:
Retweet the first tweet for others: twitter.com/155287118543152742...
If you like this thread, you will love my AI newsletter.
Join 90,000+ people and learn how to make AI work for you for free:
👉

From Twitter
Disclaimer: The content above is only the author's opinion which does not represent any position of Followin, and is not intended as, and shall not be understood or construed as, investment advice from Followin.
Like
Add to Favorites
Comments
Share
Relevant content





